Cabinetul nostru stomatologic, fondat în 1997, oferă de aproape 30 de ani, servicii dentare de top, bazate pe profesionalism, inovație și grijă față de pacient

Aparat dentar fix pentru adolescenți și adulți
Un aparat dentar fix este un dispozitiv utilizat în tratamentul ortodontic pentru a corecta poziția dinților și a maxilarelor. Acesta consta în bracket-uri (elemente metalice sau ceramice lipite pe dinți) și arcuri ortodontice care exercită presiune asupra dinților pentru a-i deplasa treptat în poziția corectă.
De ce să alegi un aparat dentar fix?
Un aparat dentar fix este o opțiune populară pentru adolescenți și adulți datorită eficienței și rezultatelor pe termen lung pe care le oferă. Cu un aparat dentar fix se pot trata o gamă largă de probleme dentare, cum ar fi dinții înghesuiți, dinții suprapuși, spațiile între dinți și problemele de pozitie a maxilarelor. Afla mai multe aici…

Tratamentul cu gutiere dentare
Descoperă libertatea de a zâmbi fără griji!
Tratamentul cu gutiere dentare este soluția modernă și invizibilă pentru alinierea dinților.
Perfecte pentru adulți, adolescenți – confortabile, detașabile și eficiente. Vino să ne vizitezi și pornește în călătoria spre zâmbetul pe care l-ai visat! Afla mai mult…

Smile Architect de la Invisalign este un instrument revoluționar.
El ne permite să vizualizam și să planificam intregul tratament. Fie ca este protetic, implanto-protetic, cu gutiere dentare invizibile sau chiar estetic, acum avem posibilitatea sa va aratam de la inceput, rezultatul final. Afla mai mult…

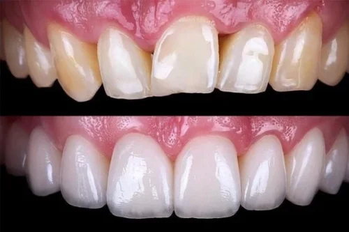
Fatetele dentare sunt o soluție excelentă pentru a-ți îmbunătăți zâmbetul.
Acestea sunt subțiri, personalizate și se aplică pe suprafața frontală a dinților, oferind un aspect natural și atrăgător.
Sunt in special folosite pentru corectarea diverselor imperfecțiuni, cum ar fi dinții decolorați, ușor strâmbi sau cu spații între ei.
Ideal fatetarea se face dupa tratamentul ortodontic, fie cu aparat dentar fix, fie cu gutiere dentare (aparat deGutiere dentare ortodonticentar invizibil). Afla mai mult…

Lucrarile dentare total fizionomice reprezintă o soluție eficientă și estetică pentru persoanele care au pierdut un numar variabil de dinti.
Acestea sunt proiectate pentru a imita aspectul și funcționalitatea dinților naturali, oferind un zâmbet frumos și o mușcătură corectă.
Ele dau rezultate optime daca se aplica dupa tratamentul ortodontic cu gutiere dentare sau ca aparat dentar fix. Afla mai mult…

Implantele dentare sunt o soluție excelentă pentru înlocuirea dinților lipsă, oferind un aspect natural și funcționalitate pe termen lung.
Procedura presupune inserarea unui implant din titan în osul maxilarului. El va servi ca suport pentru coroana dentară artificială.
Daca locul pentru inserarea implantului este micsorat sau marit se impune ca prim pas tratamentul ortodontic, fie cu gutiere dentare, fie cu aparat ortodontic fix. Afla mai mult…

Profilaxia dentară este esențială pentru menținerea sănătății orale!
Prin vizite regulate la dentist chiar daca ai aparat fix sau gutiere dentare și o igienă adecvată acasă, putem preveni apariția cariilor și a bolilor gingivale.
Haideți să zâmbim cu încredere, protejându-ne dantura! Afla mai mult…






