
Aparat dentar fix pentru adolescenți și adulți
Bine ați venit pe pagina noastră care descrie aparatele ortodontice fixe pentru adolescenți și adulți. Suntem aici pentru a vă oferi informații și sfaturi, in eventualitatea in care va gaditi sa purtati un aparat dentar, care ajuta la:
1. corectarea problemelor dentare și la
2. obținerea unui zâmbet frumos și sănătos, ne putei contacta si telefonic.
Ce este un aparat dentar fix?
Un aparat dentar fix este un dispozitiv utilizat în tratamentul ortodontic pentru a corecta poziția dinților și a maxilarelor. Acesta consta în:
- bracket-uri (elemente metalice sau ceramice lipite pe dinți) și
- arcuri ortodontice care exercită presiune asupra dinților pentru a-i deplasa treptat în poziția corectă.
De ce să alegi un aparat dentar fix?
Un aparat dentar fix este o opțiune populară pentru adolescenți și adulți datorită eficienței și rezultatelor pe termen lung pe care le oferă. Cu un aparat dentar fix se pot trata o gamă largă de probleme dentare, cum ar fi dinții înghesuiți, dinții suprapuși, spațiile între dinți și problemele de pozitie a maxilarelor.
In plus, tratamentul ortodontic se poate achita in rate!
Beneficiile aparatelor ortodontice fixe includ:
- Corectarea problemelor dentare: Un aparat dentar fix metalic sau un aparat dentar fix ceramic, poate ajuta la corectarea problemelor de ocluzie (muscatura) și la corectarea pozitiei dinților. Aceasta poate îmbunătăți aspectul estetic și funcționalitatea sistemului dento-maxilar.
- Rezultate pe termen lung: Tratamentul cu un aparat ortodontic fix poate dura de la câteva luni până la câțiva ani. Rezultatele obținute sunt de obicei permanente și pot oferi un zâmbet frumos și sănătos pentru restul vieții.
- Opțiuni personalizate: Există o varietate de opțiuni disponibile în ceea ce privește materialele din care sunt fabricate bracket-urle (metalice sau ceramice) și culorile acestora, permițând astfel pacienților să-și personalizeze tratamentul.
- Monitorizare constantă: În timpul tratamentului cu un aparat ortodontic fix, pacienții sunt supravegheați de către ortodont pentru a se asigura că tratamentul progresează conform planului stabilit.

Cum funcționează tratamentul cu aparate ortodontice fixe?
Tratamentul cu un aparat ortodontic fix implică mai multe etape:
- Evaluarea inițială: Ortodontul va evalua starea actuală a dinților. Va examina si radiografiile necesare și va stabili un plan de tratament personalizat.
- Aplicarea aparatelor ortodontice: Bracket-urile vor fi lipite pe dinți cu ajutorul unui adeziv special. Arcurile ortodontice vor fi plasate în bracket-uri pentru a exercita presiune asupra dinților.
3. Ajustări regulate: Pacienții vor trebui să viziteze ortodontul la intervale regulate pentru a-și ajusta aparatul ortodontic și a asigura progresul tratamentului. In timpul acestori activari ale aparatului dentar se pot inlocui arcurile ortodontice sau doar aplica diferite ajustari pe aceste arcuri. Se mai pot adauga diverse lanturi elastice sau resorturi de sarma supraelastica.
4. Îndepărtarea aparatelor: După ce obiectivele tratamentului au fost atinse, aparatul ortodontic va fi îndepărtat. Pacientul va trece la etapa de menținere a rezultatelor obținute.
5. Menținerea rezultatelor: Pentru a menține rezultatele obținute, pacienții pot fi sfătuiți să poarte aparate de retenție sau să utilizeze alte dispozitive speciale. In timpul purtarii acestor dispozitive, pacientii pot veni la un control de doua ori pe an.
Îngrijirea aparatelor ortodontice fixe
Pentru a obține cele mai bune rezultate și pentru a menține igiena orală adecvată în timpul tratamentului cu aparate ortodontice fixe, este important să acordați atenție îngrijirii adecvate a aparatului și a dinților:
- Periajul regulat: Periajul dinților de cel puțin două ori pe zi și utilizarea aței dentare sunt esențiale pentru a preveni acumularea plăcii bacteriene și pentru a menține dinții și gingiile sănătoase.
- Evitarea alimentelor dure și lipicioase: Alimentele dure și lipicioase pot provoca deteriorarea aparatului ortodontic și pot îngreuna igiena orală. Este recomandat să evitați alimentele precum nucile, bomboanele tari sau gumă de mestecat.
- Vizite regulate la ortodont: Programați-vă vizite regulate la ortodont pentru ajustări și monitorizare a progresului tratamentului.
Dacă sunteți interesat de aparatele ortodontice fixe pentru adolescenți și adulți, vă recomandăm să consultați un ortodont profesionist care vă poate oferi sfaturi și informații personalizate în funcție de nevoile și obiectivele dvs. individuale. Un zâmbet frumos și sănătos este la îndemâna dvs.!
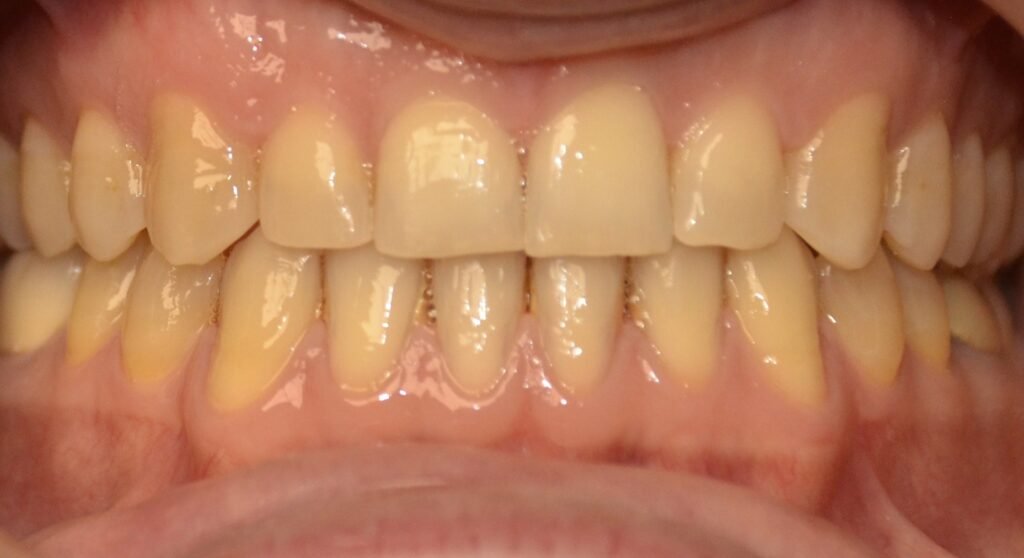
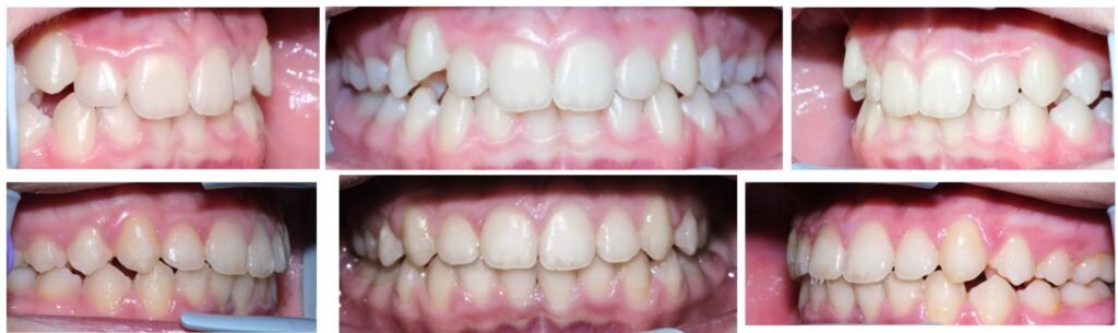
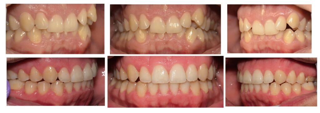
Rezultate obtinute cu aparate dentare fixe
Vrei să afli ce tip de aparat dentar ți se potrivește?
🦷 Întrebări Frecvente despre Aparatul Dentar
1. Cât de dureros este tratamentul ortodontic?
Răspuns: Montarea aparatului dentar este o procedură complet nedureroasă. În primele 3-7 zile după montare sau după activările periodice, poți simți o senzație de presiune sau o ușoară sensibilitate la nivelul dinților, deoarece aceștia încep să se miște.
- Sfat: Majoritatea pacienților se adaptează rapid, iar disconfortul poate fi gestionat ușor cu alimente moi sau analgezice obișnuite, dacă este necesar.
2. Cât timp va trebui să port aparatul?
Răspuns: Durata tratamentului variază în funcție de complexitatea cazului tău și de tipul de aparat ales. În medie, un tratament ortodontic durează între 12 și 24 de luni.
- Cum poți influența durata: Respectarea programărilor lunare și a indicațiilor medicului (privind igiena sau purtarea elasticelor) poate scurta timpul petrecut cu aparatul dentar. Vei primi o estimare precisă în urma planului de tratament digital.
3. Se poate plăti în rate?
Răspuns: Categoric, da. Înțelegem că un zâmbet perfect este o investiție majoră, așa că am creat sisteme de plată flexibile pentru a face tratamentul accesibil oricui:
- Rate interne: Achitarea unui avans la montare, urmată de rate lunare fixe pe parcursul tratamentului, direct la clinică (fără bănci).
- Carduri de cumpărături: Posibilitatea de a plăti în 6, 12 sau chiar 24 de rate fără dobândă prin băncile partenere.
- Transparență totală: Vei cunoaște costul total încă de la început, fără taxe ascunse pe parcursul vizitelor lunare.









