
Fatete Dentare: Ghid Complet pentru un Zâmbet Perfect și Natural
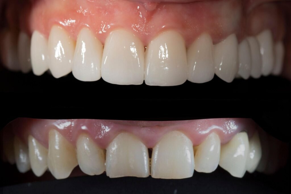
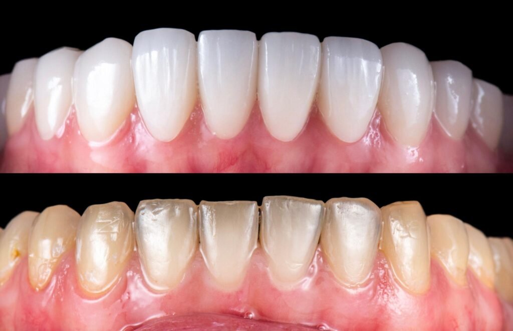
Îți dorești un zâmbet strălucitor, dar micile imperfecțiuni te împiedică să zâmbești cu încredere? Fațetele dentare reprezintă soluția modernă, rapidă și minim invazivă pentru a obține estetica dentară la care ai visat mereu.
Ce sunt fatetele dentare?
Fațetele dentare sunt piese extrem de subțiri din ceramică sau compozit, comparabile cu grosimea unei foi de hârtie. Acestea se aplică direct pe suprafața vizibilă a dinților pentru a corecta instant aspectul acestora.
Ce probleme corectează fațetele?
- Decolorări și pete care nu pot fi eliminate prin albire profesională.
- Fisuri sau ciobituri mici ale smalțului.
- Diferențe de aliniere sau spații inestetice între dinți (strungăreață).
- Forme neregulate sau dinți prea mici.
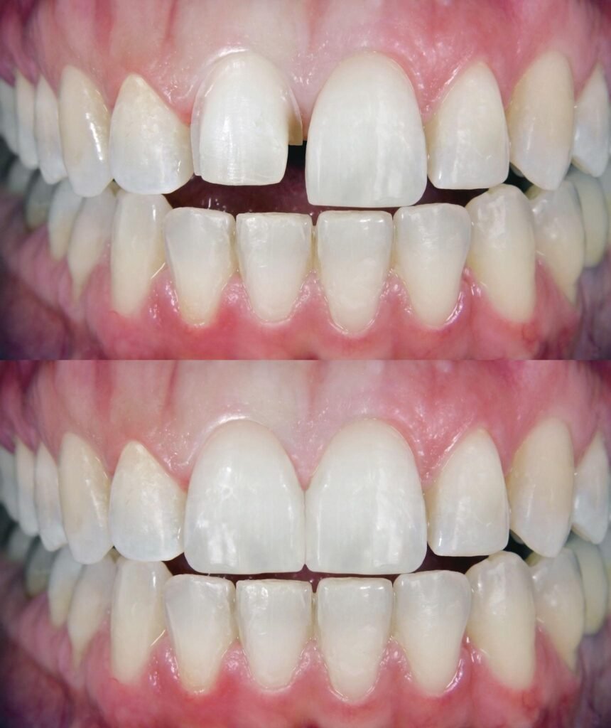
Procesul de transformare: Pas cu pas
Aplicarea de fațete dentare este un proces meticulos, dar care oferă rezultate spectaculoase într-un timp record.
- Evaluarea inițială: Medicul dentist verifică sănătatea orală pentru a confirma că ești un candidat bun.
- Pregătirea dintelui: Se șlefuiește o cantitate minimă de smalț (în cazul fațetelor clasice) pentru a asigura o aderență perfectă.
- Amprentarea Digitală: Folosim scanere intraorale de înaltă precizie (fără pastele de amprentă inconfortabile).
- Realizarea în laborator: Fațeta este creată personalizat, sub lupă, pentru a se potrivi perfect fizionomiei tale.
- Cimentarea finală: Fixarea fațetei cu un adeziv special, întărit cu o lumină UV, pentru o rezistență de lungă durată.
Tipuri de fațete dentare și materiale utilizate
Alegerea materialului potrivit este esențială pentru durabilitatea și estetica zâmbetului tău.
| Material | Caracteristici principale |
| Ceramică Disilicat (E-max) | Cel mai înalt grad de estetică și personalizare. Reproduc perfect translucența naturală a dintelui. |
| Fațete No-Prep | Nu necesită șlefuirea dintelui. Se aplică direct, fiind ideale după tratamente ortodontice. |
| Ceramică Feldspatică | Utilizată tradițional pentru un aspect clasic și rezistent. |
| Zirconiu placat cu ceramică | Combină rezistența structurală a zirconiului cu estetica ceramicii. |
| Materiale Compozite | O variantă mai rapidă și mai accesibilă pentru corecții imediate. |
Tehnica CAD-CAM în stomatologie reprezintă utilizarea calculatoarelor și a software-urilor specializate pentru a ajuta la proiectarea și fabricarea de restaurări dentare, precum coroane, punți, fatete dentare sau proteze. Această tehnologie, denumită intuitiv „One hour dentistry”, aduce beneficii reale in realizarea de fatete dentare și este considerată o adevărată noutate în stomatologia digitală. Iată câteva aspecte importante despre tehnica dentară CAD-CAM:
- Procesul de bază:
- CAD (Computer Aided Design): Acesta este procesul de modelare de fatete dentare cu ajutorul unui computer și unui soft special de design 3D.
- CAM (Computer Aided Manufacturing): Prin acest proces, unitatea de producție (de frezare) realizează elementele protetice (punte, fatete dentare, coroană, încrustație, pivot și altele) conform informațiilor primite de la computer.
- Elemente componente ale unui sistem CAD-CAM:
- Scanner-ul: Înlocuiește amprentele clasice cu cele de stomatologie digitală, oferind o acuratețe mult mai mare si fiind mult mai rapid
- Computerul dotat cu softul dedicat de prelucrare: Procesează datele scanate din cavitatea bucală și le utilizează pentru generarea modelului virtual si conceperea elementelor de restaurare finală.
- Unitatea de frezare: Realizează propriu-zis coroanele, fațetele sau punțile, folosind axe de frezare și materiale biocompatibile de calitate, cum ar fi ceramica pentru fatete dentare, zirconiul, aliaje metalice speciale, titanul, materialele compozite si rasinile folosite pentru lucrarile provizorii.
- Avantaje ale tehnologiei CAD-CAM:
- Rapiditate: Elementele protetice sunt realizate într-un timp scurt.
- Precizie: Tehnica dentară CAD-CAM oferă o acuratețe superioară în realizarea pieselor protetice.
- Confort: Scanner-ul preia amprentele dentare cu o precizie perfectă, iar pacienții beneficiază de proceduri mai comode.
- Calitate: Piesele protetice sunt realizate din materiale biocompatibile de înaltă calitate.
În concluzie, tehnologia CAD-CAM reprezintă o soluție inovatoare în stomatologia digitală, oferind beneficii atât pacienților, cât și medicilor stomatologi. Dacă ai alte întrebări sau nevoie de informații suplimentare, nu ezita să întrebi!







